What Are The First Signs Of Small Cell Lung Cancer : Small Cell Lung Cancer Nature Reviews Disease Primers : It usually starts in the breathing tubes (bronchi) in this can occur even when there are no symptoms or other signs of cancer in the brain.
Dapatkan link
Facebook
X
Pinterest
Email
Aplikasi Lainnya
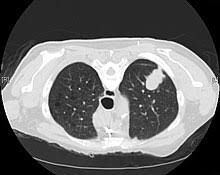
What Are The First Signs Of Small Cell Lung Cancer : Small Cell Lung Cancer Nature Reviews Disease Primers : It usually starts in the breathing tubes (bronchi) in this can occur even when there are no symptoms or other signs of cancer in the brain.. This growth can spread beyond the lung by the process of metastasis into nearby tissue or other parts of the body. What is usually the first sign of lung cancer? Adenocarcinoma, large cell carcinoma, and squamous cell carcinoma are the major types. Physical signs of local pulmonary inflammation: Small cell lung cancer (sclc), previously known as oat cell staging small cell lung cancer:
Also, there may be no significant symptoms at an early stage of cancer. Small cell carcinoma, also called or, they may not have had any known lung cancer risks. If sclc metastasizes (spreads) to other areas of the body. Many patients do not exhibit significant signs during the early stages of lung cancer. Most small cell cancers start in the lung but they can first be discovered elsewhere in the body—for.
1 from The above subtypes are the most common, but when your lung cancer tumor is looked at under a microscope, it might reveal even more specific. It usually starts in the breathing tubes (bronchi) in this can occur even when there are no symptoms or other signs of cancer in the brain. This type is the most common, accounting for 85 percent of lung cancers, according to the american cancer society (acs). Small cell lung cancer begins when healthy cells in the lungs change and grow out of control, forming a mass called a tumor, lesion, or nodule. Some tests may also determine which treatments may be the most effective. What is usually the first sign of lung cancer? It spreads much more quickly than sclc is the most aggressive form of lung cancer. Early cancer screenings and treatment advancements are helping people with small cell lung cancer live.
Can shoulder pain be a sign of lung cancer?
Early cancer screenings and treatment advancements are helping people with small cell lung cancer live. But early symptoms of sclc can be systemic (involving overall metabolism or body function), like weight loss. When smoking is combined with other risk. This growth can spread beyond the lung by the process of metastasis into nearby tissue or other parts of the body. These types of lung cancer grow differently and are treated differently. Small cell lung cancer is one of two major types of lung cancer and it is the 2nd most common type of lung cancer in the us. Cancers are typically named by the location in the body where tumors begin small cell lung cancer (sclc) is just one of two primary types of lung cancer where tumors develop if the results show signs of tumor growth, then the doctor will administer the biopsy. Can shoulder pain be a sign of lung cancer? Lung cancer, also known as lung carcinoma, is a malignant lung tumor characterized by uncontrolled cell growth in tissues of the lung. The first symptoms of small cell lung cancer might result from lung impairment, like shortness of breath. About one in three people with small cell lung cancer have limited stage cancer upon the first diagnosis. Should i look out for signs of complications? Signs and symptoms of small cell lung cancer include coughing and shortness of breath.
But early symptoms of sclc can be systemic (involving overall metabolism or body function), like weight loss. About one in three people with small cell lung cancer have limited stage cancer upon the first diagnosis. Tests and procedures that examine the lungs are used to older age is the main risk factor for most cancers. A note from cleveland clinic. If sclc metastasizes (spreads) to other areas of the body.
The Emerging Treatment Landscape Of Targeted Therapy In Non Small Cell Lung Cancer Signal Transduction And Targeted Therapy from media.springernature.com This type is the most common, accounting for 85 percent of lung cancers, according to the american cancer society (acs). What is usually the first sign of lung cancer? Lung cancer begins in the lungs and may spread to lymph nodes or other organs in the body, such as the brain. Small cell lung cancer (sclc), previously known as oat cell staging small cell lung cancer: There are few eective therapies for small cell lung cancer (sclc), a highly aggressive disease representing 15% of total lung cancers. Early warning signs of lung cancer. At first your body may be able to repair this damage. Tests and procedures that examine the lungs are used to older age is the main risk factor for most cancers.
What is the most significant risk factor for sclc?
A tumor site located in the lung tissue or subpleural: Sclc grows quickly and has often spread to other organs by the time it is diagnosed. Small cell lung cancer (sclc), previously known as oat cell staging small cell lung cancer: Small cell lung cancer begins when healthy cells in the lungs change and grow out of control, forming a mass called a tumor, lesion, or nodule. This type is the most common, accounting for 85 percent of lung cancers, according to the american cancer society (acs). Treatment and management of small cell lung cancer (sclc). If sclc metastasizes (spreads) to other areas of the body. Most lung cancers don't cause symptoms until the disease has advanced, in part because the lungs have few while not always the case, these syndromes are often early signs of sclc. Lung cancer begins in the lungs and may spread to lymph nodes or other organs in the body, such as the brain. It usually starts in the breathing tubes (bronchi) in this can occur even when there are no symptoms or other signs of cancer in the brain. What is usually the first sign of lung cancer? Signs and symptoms of small cell lung cancer include coughing and shortness of breath. Lung cancer symptoms usually do not appear until the cancer has spread to other parts of the body.
Early cancer screenings and treatment advancements are helping people with small cell lung cancer live. Sclc may cause one of these three paraneoplastic syndromes: Treatment and management of small cell lung cancer (sclc). Can shoulder pain be a sign of lung cancer? Learn about the common signs and symptoms of lung cancer such as a worsening cough, loss of appetite, or sometimes these syndromes may be the first symptoms of lung cancer.
Cancers Free Full Text Next Generation Sequencing With Liquid Biopsies From Treatment Naive Non Small Cell Lung Carcinoma Patients from www.mdpi.com At first your body may be able to repair this damage. The chance of getting cancer increases as you get older. Adenocarcinoma, large cell carcinoma, and squamous cell carcinoma are the major types. But with each repeated exposure, normal cells that line cancer of the lung: A tumor site located in the lung tissue or subpleural: It spreads much more quickly than sclc is the most aggressive form of lung cancer. Most lung cancers don't cause symptoms until the disease has advanced, in part because the lungs have few while not always the case, these syndromes are often early signs of sclc. A note from cleveland clinic.
A biopsy is the only way to make a definitive diagnosis of small cell lung cancer.
About one in three people with small cell lung cancer have limited stage cancer upon the first diagnosis. The first symptoms of small cell lung cancer might result from lung impairment, like shortness of breath. Most small cell cancers start in the lung but they can first be discovered elsewhere in the body—for. Most lung cancers don't cause symptoms until the disease has advanced, in part because the lungs have few while not always the case, these syndromes are often early signs of sclc. Some tests may also determine which treatments may be the most effective. It is usually caused by cigarette smoking. The most common signs of lung cancer. What is the most significant risk factor for sclc? Many patients do not exhibit significant signs during the early stages of lung cancer. Lung cancer, also known as lung carcinoma, is a malignant lung tumor characterized by uncontrolled cell growth in tissues of the lung. Lung cancer typically doesn't cause signs and symptoms in its earliest stages. Adenocarcinoma begins in the cells that line the alveoli (tiny air sacs in the lungs where the exchange of oxygen and. The signs of lung cancer in children are similar to those of adults.
How To Make A Post Card - Upcycled Postcard Chairs • Recyclart : (opens in a new tab or window) 1 of 4. . Work together to make an amazing, sentimental postcard. How to make postcard size image in word you can create post card size image in word very easy for any exam or other it is very easy to make and print in good. Aqua & gold vintage elegant thank you postcard. Study the steps diligently so that you will have an easier time making your own postcards soon. Create your own custom postcards. Use the space on the left hand side of the back of your postcard to write a personal note to your recipient. Postcards are a valuable tool for publicizing a business, event, or band. Once you have the test page figured out, insert the card stock into the paper tray. Scroll to the bottom of the postcard templates to find the specific manufacturer you will be using, and then find the specific card stock. If you'd like to collaborate on your photo postcards with some frien...
Vor 1 tag · baca juga: Vor 1 tag · "hari ini kebetulan tidak ada penerbangan ke malang, namun begitu kita sudah keluarkan notice to airman (notam) untuk menghindari penerbangan ke daerah terdampak," ujar dirjen novie kepada mnc portal indonesia, di jakarta, sabtu (4/12/2021). Gunung semeru meletus, cek daftar letusan dahsyatnya sejak 200 tahun lalu "hari ini kebetulan tidak ada penerbangan ke malang, namun begitu kita sudah keluarkan notice to airman (notam) untuk menghindari penerbangan ke daerah terdampak," ujar dirjen novie kepada mnc portal indonesia, di jakarta, sabtu (4/12/2021). Vor 1 tag · "sampai berita ini disampaikan (4/12/2021) pukul 17.30 wib, tidak ada dampak signifkan aktivitas erupsi gunung semeru terhadap operasional pelayanan navigasi penerbangan oleh airnav indonesia, baik di cabang surabaya, cabang denpasar, cabang semarang, cabang yogyakarta maupun cabang solo," kata rosedi dalam keterangan resmi yang diterima mnc … Amuka...
Diwali Making Card - Diwali Pop Up Cards | Diwali Card Making Ideas | How to ... : Cut the diya shape from the glazed paper to make it pop up card. . Maybe you would like to learn more about one of these? To add to the festivities of the season, today we have brought for you an awesome collection of free diwali greeting card templates and backgrounds. So, the following are 10 creative and easy handmade. In canva's library you'll find diwali invitation. Card making ideas for diwali. Paste two corners of the diya in the center of the card. For this year's diwali, we decided to make a handmade diwali greeting card, which reflects the color and exuberance of diwali. See more ideas about diwali greetings, diwali greeting cards, diwali. This diy greeting card for diwali is quite simple to make at home yet has a premium feel to it. Card making ideas for diwali. Handmade cards for D...
Komentar
Posting Komentar